ORTODONCISTA EN CHAPINERO CERCA A LA CLINICA DE MARLY
Tratamientos y Salud Oral
Evaluamos y tratamos diferentes condiciones que afectan la alineación dental, la mordida y la salud oral.
Dientes Torcidos
Causas, tratamientos y prevención


Maloclusiones Dentales
Desviaciones en la alineación y el cierre correcto de los dientes.
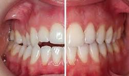
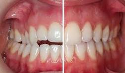
Tratamiento Correctivo
Antes y Despues






Brackets de Autoligado
Resultados mas Rapidos, Menor Dolor, Mayor Estetica




Brackets Metalicos
Brackets de Ceramica
Fabricados con Metales Bio-Compatibles
Fabricados en Porcelana o Materiales Ceramicos, mas Discretos y Resistentes